IHMC Public Cmaps (3)

        Users (create your own folder...)
            ABPH Integradora Fase 1- Emiliano
                Recursos para Integradora Fase 1 ABPH
                ABPH. Integradora Fase 1

                    Acinetobacter.jpg
                    actinomyces.jpg
                    Aire. Habitat de microorganismos.pdf
                    anaerococcus.jpg
                    Bacterias.url
                    Bacteriemia.url
                    bacteriemias.jpg
                    bacteroidetes.jpg
                    Biotina.gif
                    campylobacter.jpg
                    Campylobater.pdf
                    candida.jpg
                    Clasificacion.pdf
                    corynebacterium.jpg
                    Cuál es la diferencia entre microbioma y microbiota y por qué es importante saberlo.mp4
                    Desarrollo del sistema de defensa frente a las infecciones.docx
                    Escherichia coli benefica.jpg
                    Escherichia coli patogena.jpg
                    Fascitis.url
                    gardnerella vaginallis.jpg
                    Lactobacillus.jpg
                    latas.jpg
                    Localizacion.pdf
                    meninges.jpg
                    Microbiologia_medica_Jawetz.pdf
                    Microbioma.pdf
                    Microbiota.url
                    Microbiota corporal.pdf
                    Microbiota normal.pdf
                    Mycobacterium tuberculosis.jpg
                    mycoplasma.jpg
                    Mycoplasma pneumoniae.jpg
                    organismo.jpg
                    Otitis.url
                    Peptostreptococcus.jpg
                    pericardio.png
                    piel.jpg
                    Piel microbiota.pdf
                    Pirixidona.gif
                    piroxidina.jpg
                    pleura.jpg
                    probioticos-y-prebioticos.pdf
                    Propionibacterium.pdf
                    Pseudomonas.jpg
                    redalyc.pdf
                    relación.pdf
                    Ribofamina.gif
                    S. Salivarius.jpg
                    salmonella_750px.jpg
                    Salmonelosis.url
                    s epidermidis.png
                    serratia01.jpg
                    Shigella.jpg
                    Shigelosis.url
                    staphilococcus aureus.jpg
                    streptococco viridians.jpg
                    streptococcus.jpg
                    streptococcus agalactiae.jpg
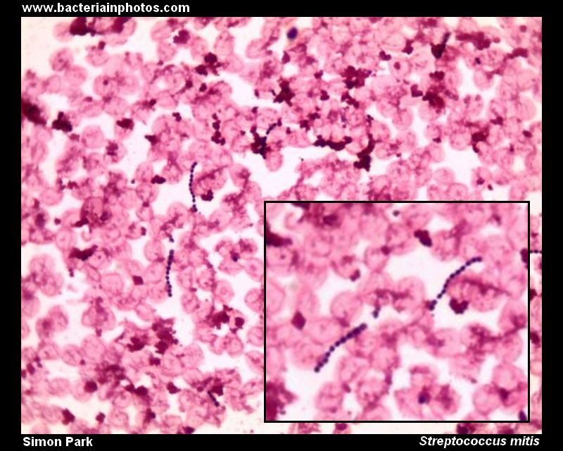
                    streptococcus mitis.jpg
                    streptococcus mutans.jpg
                    Streptococcus pyogenes.gif
                    Streptococcus sanguis.jpg
                    Tiamina.gif
                    Veillonella.jpg
                    Vitaminas.url