IHMC Public Cmaps (3)

        Users (create your own folder...)
            UCVM
                Neuro
                Resources for Nervous System Tissues and Cells

                    Histology Intro
                    Histology Intro (2)
                    Resources for Nervous System Organization
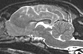
                    Canine Brain MRI.jpg
                    Dx Imaging Vet.url
                    Mammalian Spinal Cord 40X central canal.jpg
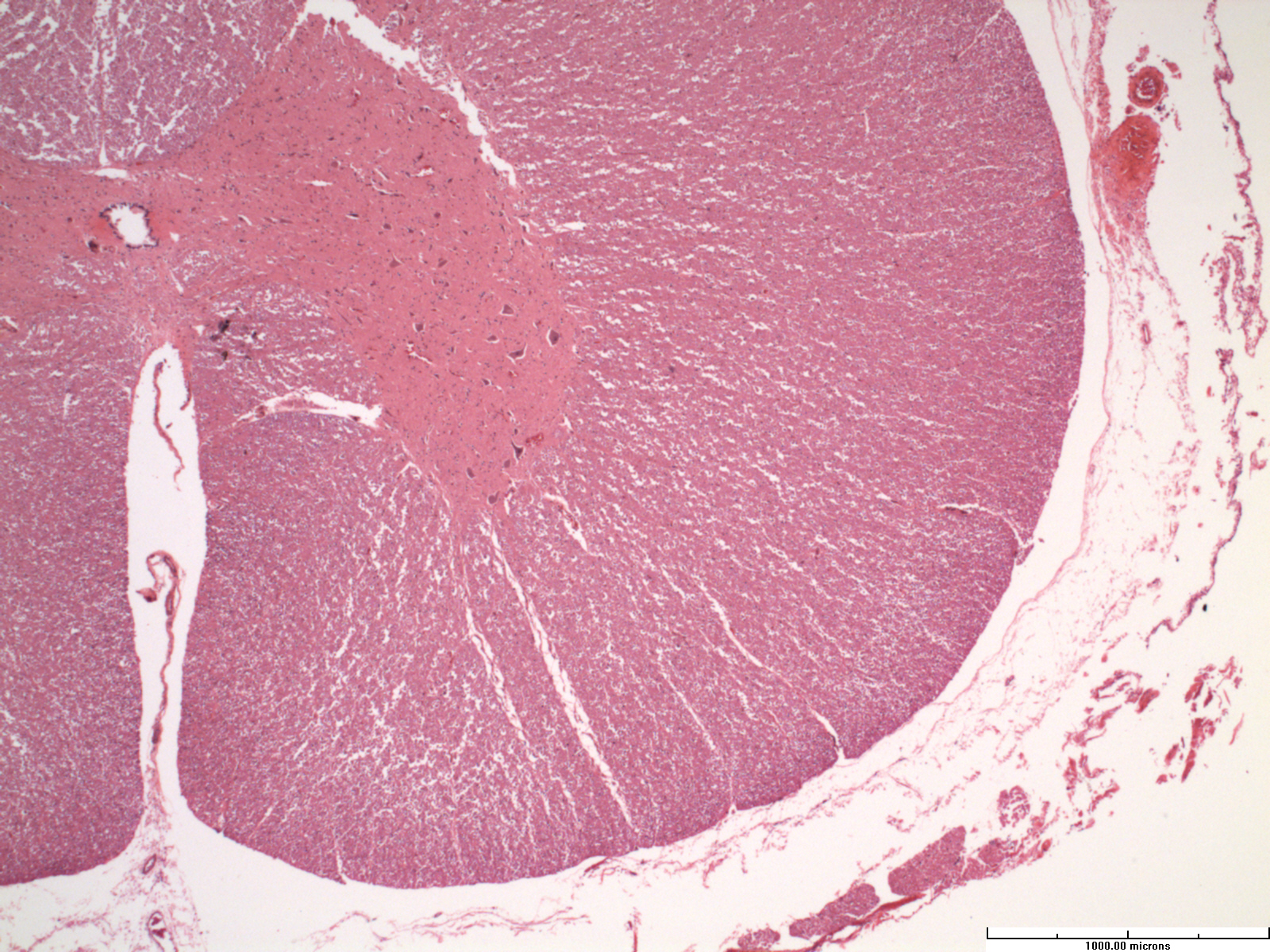
                    Mammalian Spinal Cord Ventral 2.5X.jpg
                    Nervous System Organization.cmap
                    Subarachnoid Spinal Cord from Gray770.png