Warning:
JavaScript is turned OFF. None of the links on this page will work until it is reactivated.
If you need help turning JavaScript On, click here.
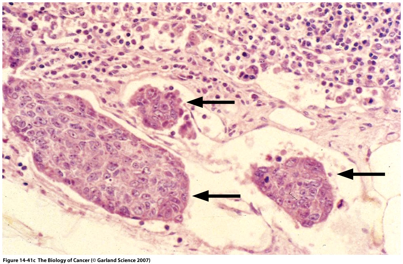
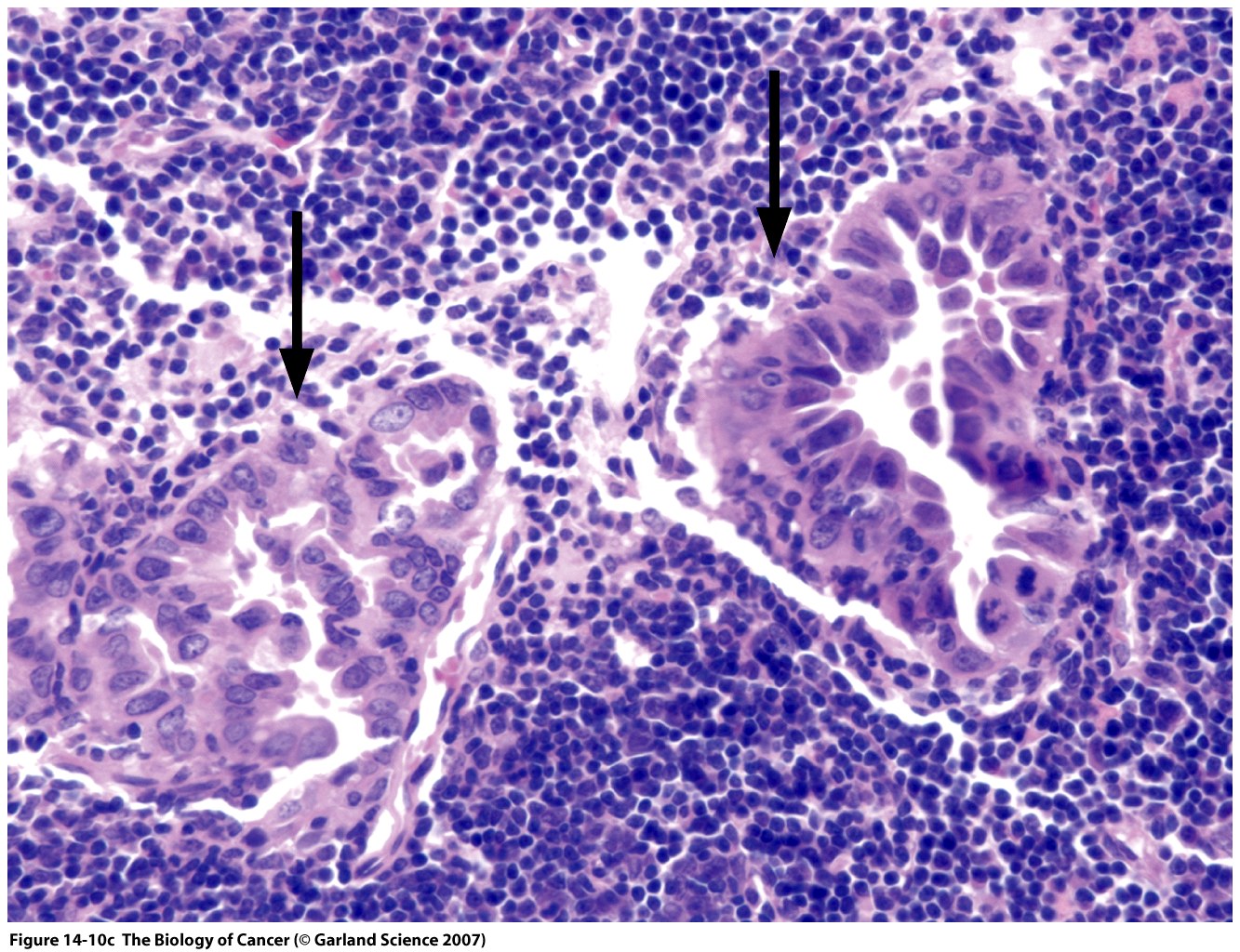
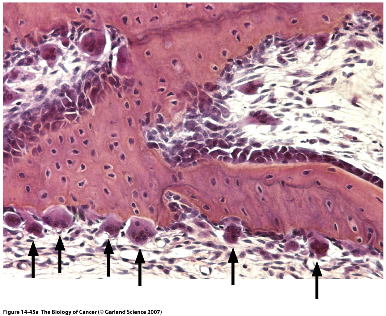
This Concept Map, created with IHMC CmapTools, has information related to: Chapter 14 complete, breast milk formation causes secretion of PTHrP parathyroid hormone-related protein, erythrocytes are easily deformed, genetically heterogeneous occurs in EMT, carcinoma cell invasion can occur through lymphatic vessels, metastasis can lead to micrometastases, EGF epidermal GF is used for signalling by the stroma, MMPs if constitutively expressed, Rho GTPases effects are different in each type of cells, rate-limiting determinant of invasion-metastasis cascade, primary tumors expand in colon ex: disrupt passage thru colon, prostate cancer cells express ET-1 receptor, Rho GTPases control cell shape, osteolytic metastasis can be slowed by OPG derivatives, Tiam1 eg GEF guanine exchange factor, carcinoma cell invasion may be followed by colonization, marrow detect micrometastases, embryogenesis have similar EMTs, solitary dormant tumor cells persist many weeks in the liver, osteoblasts can activate or suppress osteoclasts, EMT eg cell morphology changes from highly differentiated to motile spindle shaped and metastatic