Warning:
JavaScript is turned OFF. None of the links on this page will work until it is reactivated.
If you need help turning JavaScript On, click here.
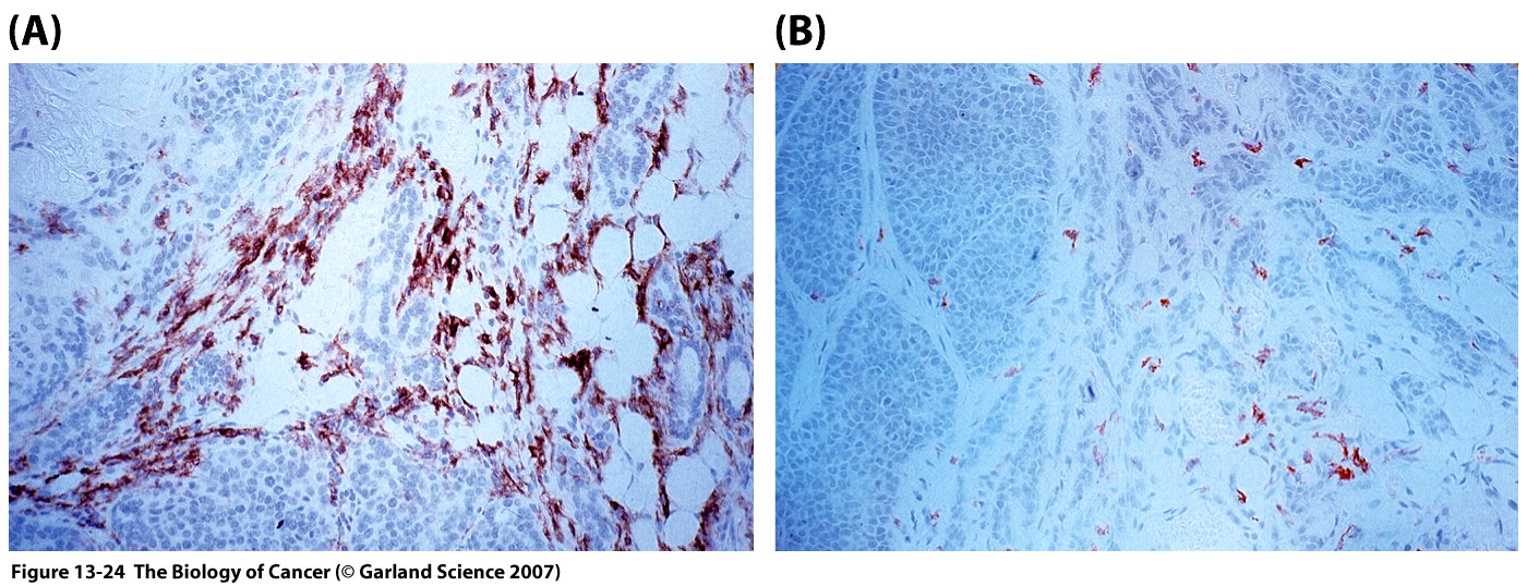
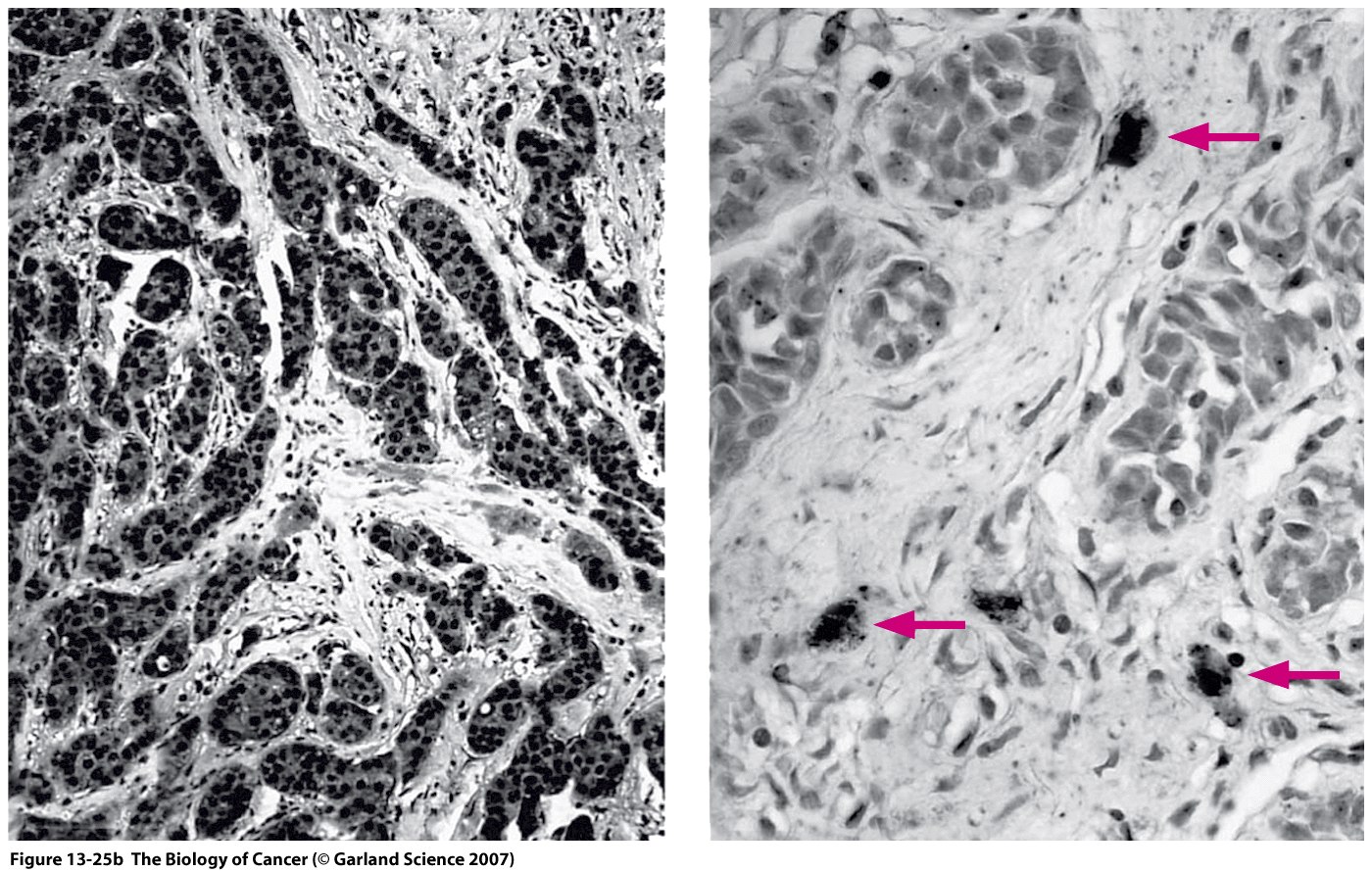
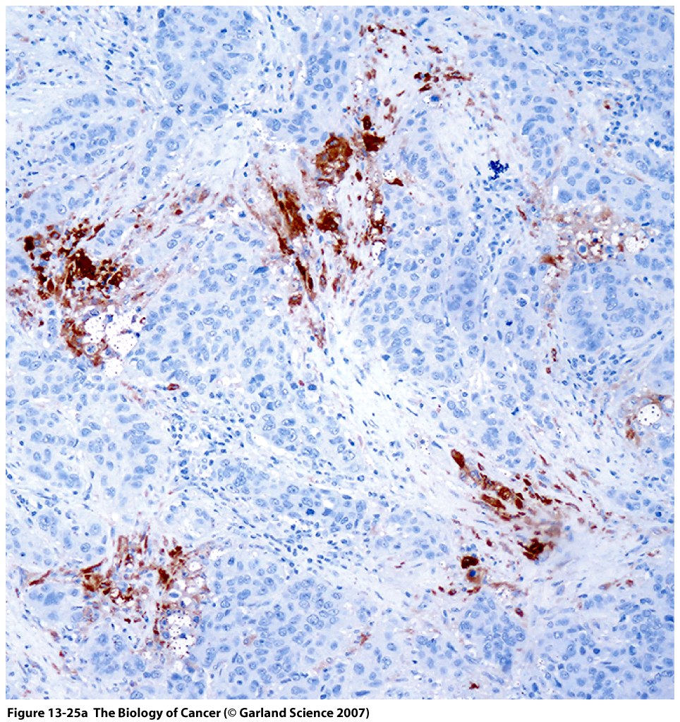
This Concept Map, created with IHMC CmapTools, has information related to: Section 13.5, immune cells block tumor development, macrophages promote angiogenesis, macrophages contribute to tumorigenesis, macrophages are deployed by the immune system, macrophages block tumor development, immune system to dextroy abnormal cells, tumor development as will be discussed in Chapter 15, chemotactic factors ex CSF-1, macrophages participate in activation of the tumor-associated stroma, chemotactic factors attract macrophages, chemokines attract leukocytes, CSF-1 recruits macrophages, tumor development ie tumoricidal, angiogenesis in rapid growing tumors cannot avert necrotic areas, chemotactic factors ex chemokines, immune system to dextroy infectious agents