Warning:
JavaScript is turned OFF. None of the links on this page will work until it is reactivated.
If you need help turning JavaScript On, click here.
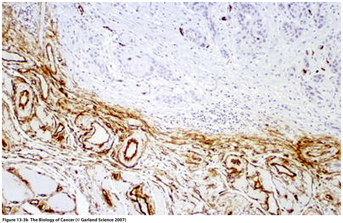
This Concept Map, created with IHMC CmapTools, has information related to: Section 13.1, normal epithelial tissue includes basement membrane, myofibroblasts are stromal components, endothelial cells have hemidesmosomes, endothelial cells have apposed pericytes, pericytes are stromal components, smooth muscle cells aka mural cells, neoplastic epithelial tissue are formed from interdependent cell types, basement membrane contains proteoglycans, mast cells are stromal components, endothelial cells are stromal components, stromal components are found in metastases, growth factor localization is important for proper heterotypic signalling, Section 13.3 will discuss stromal components, growth factor localization is important for proper pericytes, normal epithelial tissue are formed from interdependent cell types, heterotypic signalling depends on ligand receptors, adipocytes are stromal components, microvessels ex lymphatic ducts, stromal components of several commonly occuring carcinomas, neoplastic cells have reduced, but not eliminated, dependence on stromal components